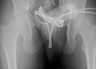
Cabo USB fica preso no pênis durante ato sexual e homem é hospitalizado
Médicos dos Estados Unidos relataram, na edição de fevereiro da revista científica Cureus, o caso de um universitário de 21 anos que inseriu um...
Britânico-indiano sobrevive à queda de avião na Índia e caminha até ambulância
A polícia de Ahmedabad, na Índia, confirmou que ao menos uma pessoa sobreviveu à queda do avião ocorrida nesta quinta-feira (12). De acordo com...
Polícia informa quase 300 vítimas em acidente de avião na Índia
Um policial informou à Reuters que o número de mortos no acidente aéreo em Ahmedabad, Índia, ultrapassou 290 pessoas. Embora o Boeing 787 transportasse...
Boeing 787 da Air India cai em área residencial na Índia minutos após decolar
O voo AI171 da Air India, com destino a Londres, caiu nesta quinta-feira (12) logo após decolar do Aeroporto Internacional Sardar Vallabhbhai Patel, em...
Adolescente acusado de balear presidenciável na Colômbia se diz inocente
Brasil - O adolescente de 15 anos, suspeito de balear o pré-candidato à presidência da Colômbia Miguel Uribe, declarou-se inocente, nesta terça-feira (10), do...
Suprema Corte da Argentina confirma condenação e Cristina Kirchner pode ser presa a qualquer...
Nesta terça-feira (10), a Suprema Corte da Argentina rejeitou um recurso da ex-presidente Cristina Kirchner e confirmou sua condenação a seis anos de prisão...
Forças de Israel apreendem embarcação de Greta a caminho da Faixa de Gaza
O ministro da Defesa de Israel, Israel Katz, elogiou as Forças de Defesa de Israel (FDI) pela interceptação do navio Madleen, que transportava 12...
Israel promete impedir avanço de navio com Greta Thunberg que leva ajuda à Gaza
O ministro da Defesa de Israel, Israel Katz, afirmou neste domingo (8) que ordenou às Forças de Defesa de Israel (FDI) que bloqueiem a...
Colômbia: hospital atualiza estado de Miguel Uribe, pré-candidato de oposição, para “máxima gravidade”
A Fundação Santa Fé de Bogotá informou neste domingo (8/6) que o estado de saúde do senador e pré-candidato à presidência da Colômbia, Miguel...
Khaby Lame, fenômeno do TikTok, é detido nos Estados Unidos por ultrapassar prazo do...
Khaby Lame, 25 anos, influenciador mais seguido do mundo no TikTok, foi detido por agentes de imigração dos Estados Unidos após exceder o prazo...











